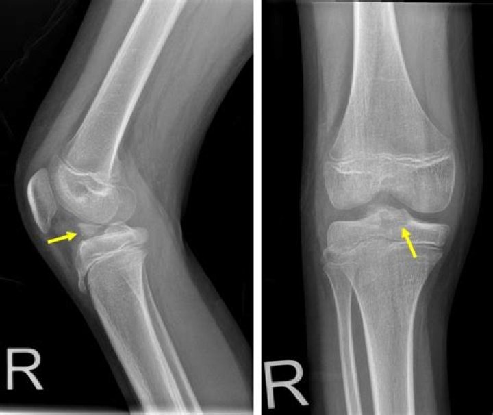
The knee joint remains particularly susceptible to avulsion fractures due to its numerous tendinous, ligamentous, and meniscal attachments. An avulsion fracture involves the detachment of a bone fragment that results from the pulling away of a ligament, tendon, or joint capsule from its point of attachment on a bone.

.

Likewise, people ask, how long does it take to recover from an avulsion fracture?

An avulsion fracture is not always serious, and rest may the best treatment. However, medical help should be sought if symptoms occur. A person with a more severe fracture may need to wear a cast for 6 to 8 weeks to allow the bone to heal. Fractures commonly take between 3 to 12 weeks to heal.

are avulsion fractures painful? With an avulsion fracture, an injury to the bone occurs near where the bone attaches to a tendon or ligament. Symptoms of an avulsion fracture include: sudden, severe pain in the area of the fracture. swelling.

Furthermore, how do you treat an avulsion fracture?

Treatment of an avulsion fracture typically includes resting and icing the affected area, followed by controlled exercises that help restore range of motion, improve muscle strength and promote bone healing. Most avulsion fractures heal very well without surgical intervention.

What is an avulsion injury?

In medicine, an avulsion is an injury in which a body structure is torn off by either trauma or surgery (from the Latin avellere, meaning "to tear off"). This is similar to an abrasion but more severe, as body parts such as an eyelid or an ear can be partially or fully detached from the body.

Related Question Answers

Can an avulsion fracture heal on its own?

An avulsion fracture is not always serious, and rest may the best treatment. However, medical help should be sought if symptoms occur. A person with a more severe fracture may need to wear a cast for 6 to 8 weeks to allow the bone to heal. Fractures commonly take between 3 to 12 weeks to heal.

Can you put weight on an avulsion fracture?

Before you see your doctor, you can use the RICE method to help relieve pain and reduce swelling: Rest: Avoid putting weight on the injured bone, and avoid participating in normal activities until you get better.

How long does swelling last after avulsion fracture?

This injury normally takes 6 weeks to heal. Pain and Swelling: Take pain killers as prescribed. The swelling is often worse at the end of the day and elevating it will help.

What is a displaced avulsion fracture?

An avulsion fracture is an injury to the bone in a location where a tendon or ligament attaches to the bone. When an avulsion fracture occurs, the tendon or ligament pulls off a piece of the bone. Avulsion fractures can occur anywhere in the body, but they are more common in a few specific locations.

Is an avulsion fracture a stress fracture?

A Jones fracture can be either a stress fracture (a tiny hairline break that occurs over time) or an acute (sudden) break. Jones fractures are caused by overuse, repetitive stress or trauma. They are less common and more difficult to treat than avulsion fractures.

What does an ankle avulsion fracture feel like?

Because the injury is likely the result of a twisting movement, avulsion fracture ankle pain may present similarly to an ankle sprain. (4) In both types of injuries, common symptoms include: strong, sudden pain where the trauma occurred. swelling and bruising.

Why Do Broken Bones Hurt?

What Happens When You Break a Bone? There are a number of reasons why broken bones hurt: the nerve endings that contain fibers are irritated, broken bones bleed and the blood and swelling causes pain, and muscles surrounding the area may spasm as a result of trying to hold the fragmented bones together.

How long does it take for a chipped bone to heal?

Depending on the severity of the fracture and how well a person follows their doctor's recommendations, bones can take between weeks to several months to heal. According to the Cleveland Clinic, the average bone healing time is between 6 – 8 weeks, although it can vary depending on the type and site of the injury.

How long does an avulsion fracture of the 5th metatarsal take to heal?

You have sustained a fracture to the base of the 5th metatarsal of your foot, which is known as an avulsion fracture. Please see the picture below to understand where this injury is. This normally takes approximately 6 weeks to unite (heal) although pain and swelling can be ongoing for 3-6 months.

Do chipped bones grow back?

A nonhealing fracture, also called a nonunion, occurs when the pieces of a broken bone do not grow back together. Usually, bones start rebuilding immediately after a doctor has aligned the bone fragments and stabilized them into place. During the following weeks or months, new bone tissue continues to form.

Can you drive with a broken left foot?

Yes and no, as it's not specifically illegal to drive with a broken leg or foot, but if a doctor advises you not to drive then you legally cannot get behind the wheel. If you can't safely slam your feet on the brakes in an emergency (because your broken foot or leg hurts) then you run the risk of killing someone.

What happens to a chipped bone?

In the first few days after a fracture, the body forms a blood clot around the broken bone to protect it and deliver the cells needed for healing. Then, an area of healing tissue forms around the broken bone. This is called a callus (say: KAL-uss). It joins the broken bones together.

Is a fracture a break?

While many people believe that a fracture is a "hairline break," or a certain type of broken bone, this is not true. A fracture and a broken bone are the same things. To your physician, these words can be used interchangeably. Therefore treatment of a broken bone may require some type of intervention.

What causes avulsion wounds?

An avulsion is a partial or complete tearing away of skin and the tissue beneath. Avulsions usually occur during violent accidents, such as body-crushing accidents, explosions, and gunshots. They bleed heavily and rapidly.

Does a chipped bone hurt?

Sometimes, kids get small fractures and don't even know it. Other times, your body may be in shock so you don't feel anything at all--at first. But usually a broken bone means a deep, intense ache. And depending on the break, you may feel sharp pain, too.

What is an avulsion fracture of the toe?

In this type of injury, the tendon that attaches to the base of the fifth metatarsal may stretch and pull a fragment of bone away from the base. Since the fragment is pulled away from the rest of the bone, this type of injury is called an "avulsion fracture."

Do bone fragments need to be removed?

Loose bodies are small fragments of detached bone or cartilage that float through the body, catching or locking in the joints. Often, loose body removal is required because of degenerative diseases, such as osteoarthritis.

How do you tell if a bone is fractured or bruised?

there may be swelling, bruising or tenderness around the injured area. you may feel pain when you put weight on the injury, touch it, press it, or move it. the injured part may look deformed – in severe breaks, the broken bone may be poking through the skin.

Do you need a cast for a chipped bone?

If the broken bone is in the leg, people usually are also given crutches or even a wheelchair to keep weight off of the healing bone. In essence, a broken bone cast is required if a rigid cast can create the right conditions for the broken bone to heal (see How to Heal a Broken Bone above).